
proteja OS TECIDOS MOLES NA BOCA
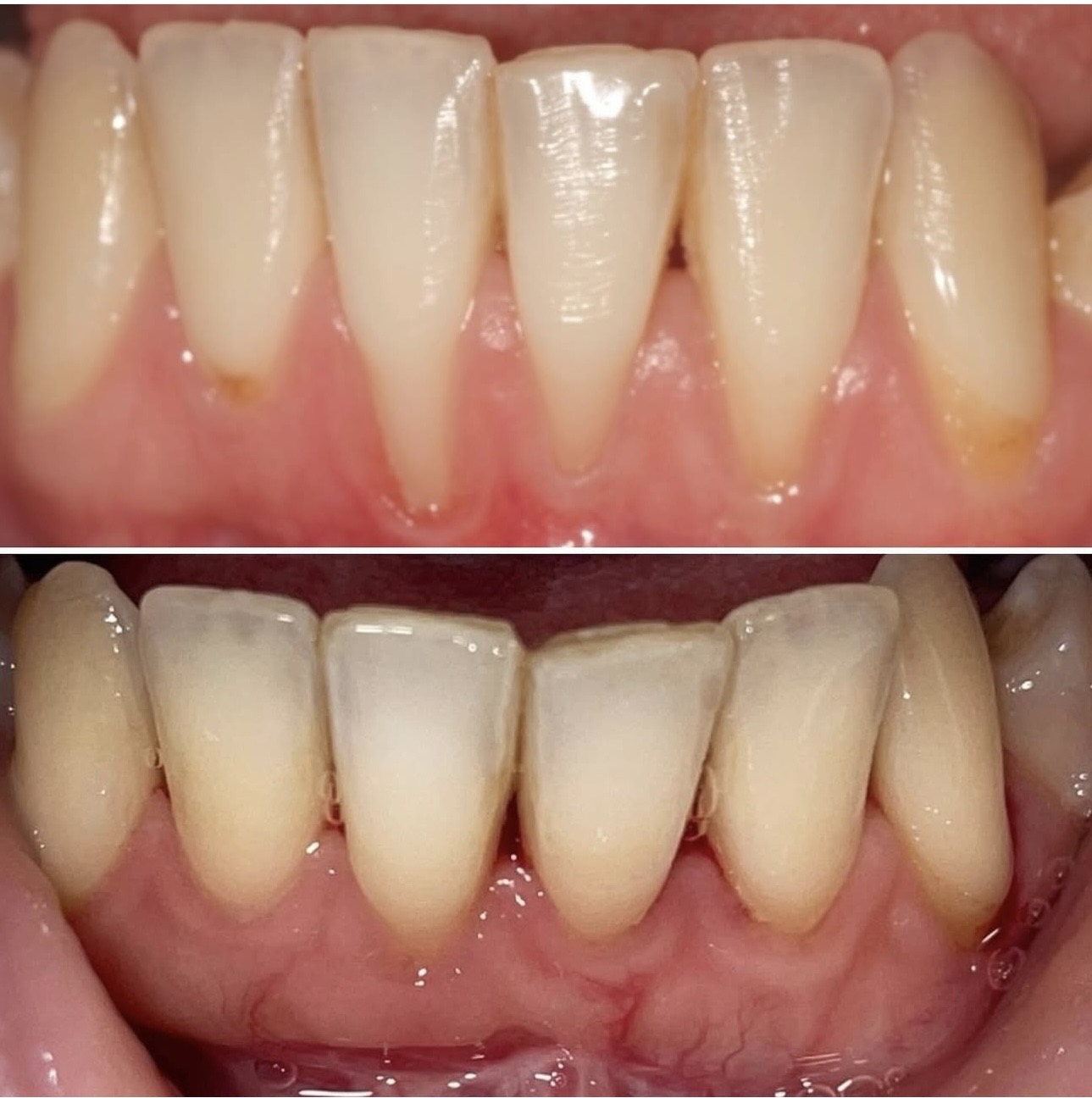
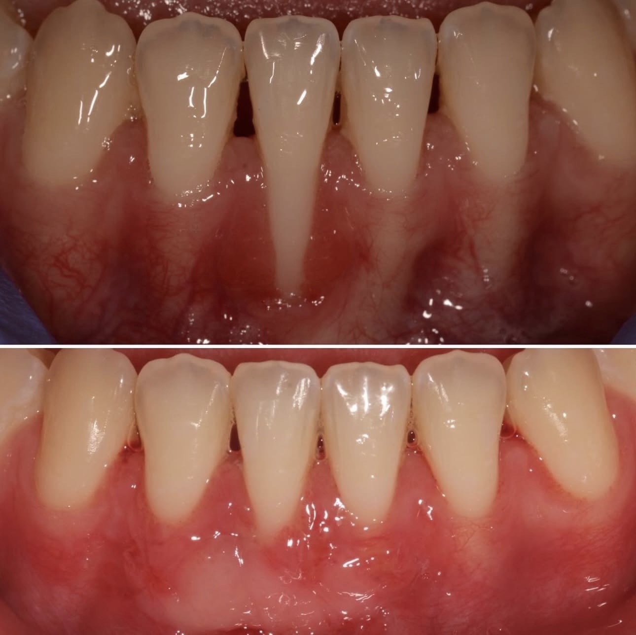
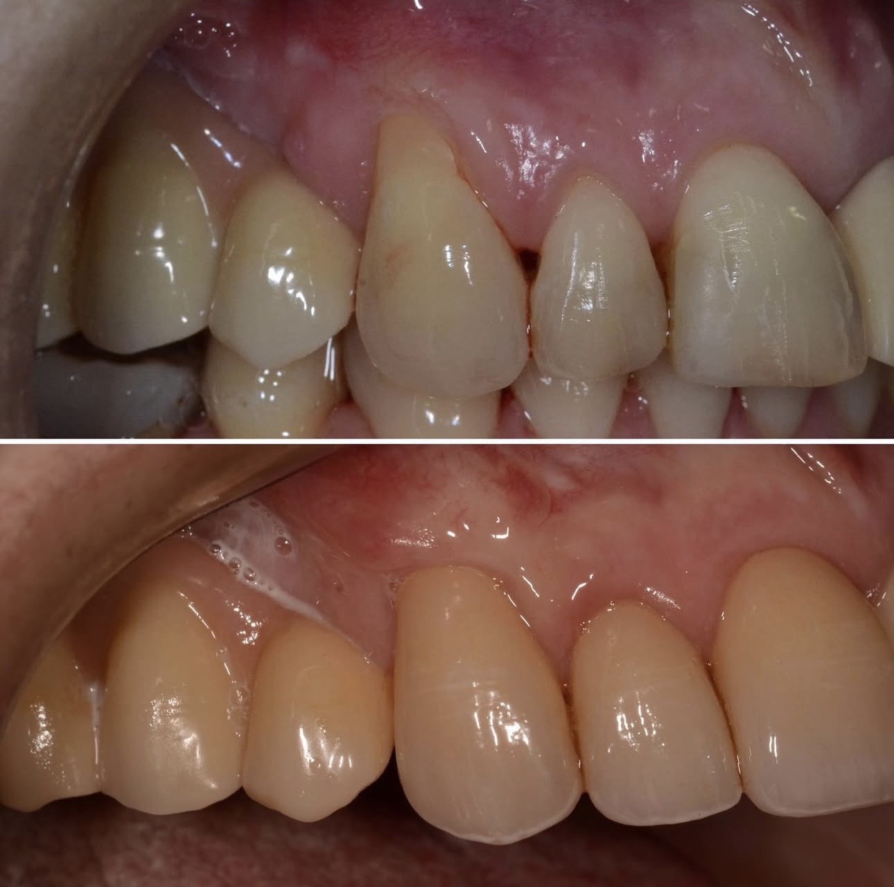
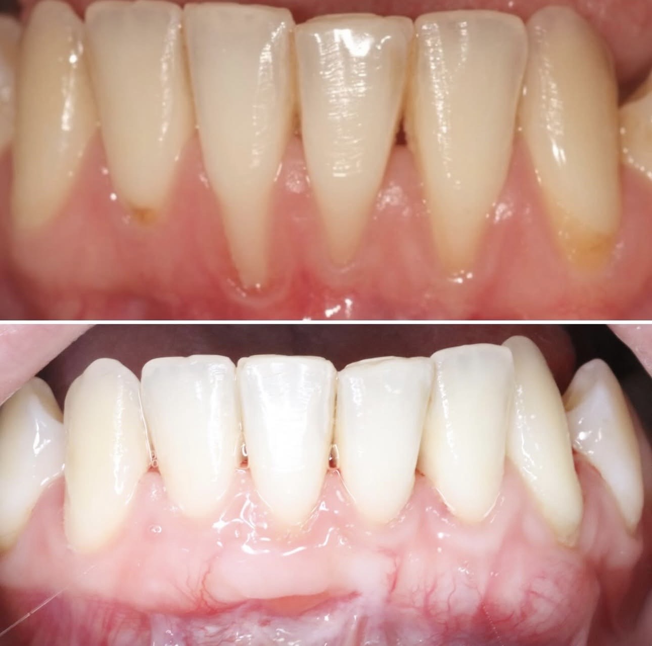
A saúde das gengivas é tão importante quanto a saúde dos dentes. Os nossos especialistas em periodontologia diagnosticam e tratam doenças gengivais para proteger a sua boca contra danos a longo prazo e garantir que o seu sorriso continue bonito e saudável.
A Diretora Clínica da SIclinic é especialista em tecidos moles e periodontologia. A sua preocupação e foco é manter os tecidos que suportam os seus dentes 100% saudáveis.







"Desde o primeiro contacto que senti que estava nas mãos de profissionais. A equipa da SIclinic é extremamente atenciosa e explicou-me todos os passos do tratamento. Recomendo!"

"Já visitei várias clínicas dentárias ao longo dos anos, mas a experiência na SIclinic foi sem dúvida excepcional. O ambiente é moderno e acolhedor, e a consulta SIclinic é simplesmente incrível. Estou muito satisfeita!"

"Decidi experimentar a SIclinic por uma recomendação de um amigo e não podia estar mais contente. A equipa tratou-me com o maior cuidado e profissionalismo."
Na nossa clínica oferecemos-lhe um serviço de alta qualidade, aliado a uma equipa de profissionais experientes e acolhedores, que construirão um plano à sua medida.
Entre em contacto connosco!

Excelência em Medicina Dentária: O seu Sorriso, a Nossa Arte
*Encerrado: Sábado e Domingo
© 2026 SIclinic | Todos os Direitos Reservados
© 2026 SIclinic
Todos os Direitos Reservados
Powered by pointfull.